Connect With Us

Pain from plantar fasciitis develops when the thick band of tissue running along the bottom of the foot becomes irritated or inflamed. This fascia connects the heel bone to the toes and supports the arch with every step. Common causes of plantar fasciitis include repetitive stress from long-distance running or standing for extended periods of time, as well as sudden changes in activity levels. Wearing shoes that lack adequate support, frequently using flip-flops, or walking barefoot on hard surfaces can also place additional strain on the heel. Structural factors such as flat feet or very high arches may increase pressure. Tight calf muscles and a shortened Achilles tendon can limit flexibility and pull excessively on the fascia. Over time, small tears may form, creating persistent heel pain that is often most noticeable first thing in the morning. A podiatrist can identify the underlying cause and recommend the best treatment. If you are experiencing symptoms of plantar fasciitis, it is suggested that you schedule an appointment with a podiatrist.
Plantar fasciitis can be very painful and inconvenient. If you are experiencing heel pain or symptoms of plantar fasciitis, contact Daniel Bell, DPM from Florida. Our doctor can provide the care you need to keep you pain-free and on your feet.
What Is Plantar Fasciitis?
Plantar fasciitis is the inflammation of the thick band of tissue that runs along the bottom of your foot, known as the plantar fascia, and causes mild to severe heel pain.
What Causes Plantar Fasciitis?
How Can It Be Treated?
While very treatable, plantar fasciitis is definitely not something that should be ignored. Especially in severe cases, speaking to your doctor right away is highly recommended to avoid complications and severe heel pain. Your podiatrist can work with you to provide the appropriate treatment options tailored to your condition.
If you have any questions, please feel free to contact our office located in Pembroke Pines and Plantation, FL . We offer the newest diagnostic and treatment technologies for all your foot care needs.

The foot and ankle bones work in harmony to create balance, stability, and graceful movement while dancing. Each step involves coordinated motion through stages of flexion, extension, and rotation supported by muscles and tendons that control strength and precision. Dancers rely heavily on these structures, making them prone to injuries such as sprains, tendonitis, and stress fractures from repetitive strain or overuse. Proper foot alignment and strength are essential for safe and fluid motion. A podiatrist can assess foot mechanics, treat injuries, and recommend exercises or custom orthotics to enhance performance and prevent future issues. If pain or instability is affecting your dance practice, it is suggested that you consult a podiatrist who can treat various foot conditions, and guide you on effective dance injury prevention tips.
If you have any concerns about your feet, contact Daniel Bell, DPM from Florida. Our doctor can provide the care you need to keep you pain-free and on your feet.
Biomechanics in Podiatry
Podiatric biomechanics is a particular sector of specialty podiatry with licensed practitioners who are trained to diagnose and treat conditions affecting the foot, ankle and lower leg. Biomechanics deals with the forces that act against the body, causing an interference with the biological structures. It focuses on the movement of the ankle, the foot and the forces that interact with them.
A History of Biomechanics
Modern technological improvements are based on past theories and therapeutic processes that provide a better understanding of podiatric concepts for biomechanics. Computers can provide accurate information about the forces and patterns of the feet and lower legs.
Understanding biomechanics of the feet can help improve and eliminate pain, stopping further stress to the foot.
If you have any questions please feel free to contact our office located in Pembroke Pines and Plantation, FL . We offer the newest diagnostic and treatment technologies for all your foot and ankle needs.

Gout is a form of arthritis that develops when uric acid builds up in the blood and forms crystals in the joints, often affecting the big toe. Causes include an overproduction of uric acid or the body’s inability to eliminate it properly. Risk factors include genetics, obesity, high blood pressure, and certain medications. The pain from gout is often severe, sudden, and may be accompanied by swelling and redness. Dietary changes, such as reducing alcohol and limiting foods high in purines, can help manage symptoms. A podiatrist can diagnose gout, provide pain relief strategies, and guide long-term management. If you are experiencing intense foot pain from gout, it is strongly suggested that you are under the care of a podiatrist who can help you to manage this painful condition.
Gout is a painful condition that can be treated. If you are seeking treatment, contact Daniel Bell, DPM from Florida. Our doctor will treat your foot and ankle needs.
What Is Gout?
Gout is a form of arthritis that is characterized by sudden, severe attacks of pain, redness, and tenderness in the joints. The condition usually affects the joint at the base of the big toe. A gout attack can occur at any random time, such as the middle of the night while you are asleep.
Symptoms
Risk Factors
Prior to visiting your podiatrist to receive treatment for gout, there are a few things you should do beforehand. If you have gout you should write down your symptoms--including when they started and how often you experience them, important medical information you may have, and any questions you may have. Writing down these three things will help your podiatrist in assessing your specific situation so that he or she may provide the best route of treatment for you.
If you have any questions, please feel free to contact our office located in Pembroke Pines and Plantation, FL . We offer the newest diagnostic and treatment technologies for all your foot care needs.

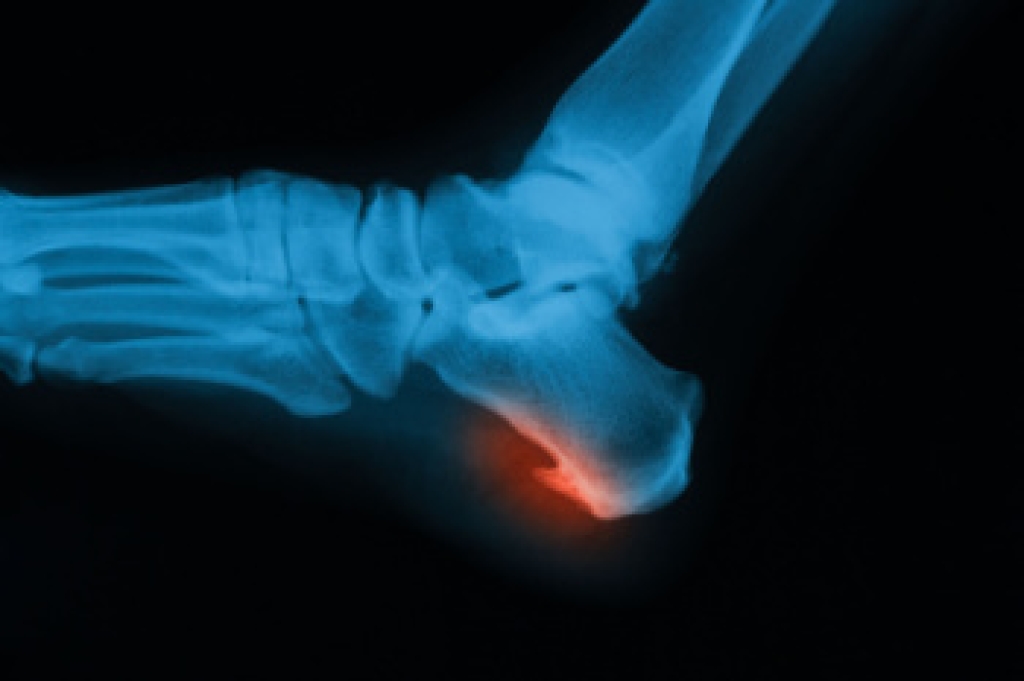
A heel spur is a bony growth that forms on the heel bone, often linked to physical stress, inflammation, or plantar fasciitis. Heel spurs can be classified into four types, including absent, indicating no visible spur. Horizontal spurs grow straight across the heel, vertical spurs point upward, while hooked spurs curve toward surrounding tissues, often causing more discomfort. Symptoms include heel pain, tenderness, and swelling, especially during walking or standing. Causes include repetitive strain, poor footwear, obesity, and high impact activities. A podiatrist can diagnose the type of heel spur, provide targeted treatments, and recommend supportive footwear or orthotics. If you have heel pain, it is suggested that you consult a podiatrist who can provide an accurate diagnosis and treatment.
Heel spurs can be incredibly painful and sometimes may make you unable to participate in physical activities. To get medical care for your heel spurs, contact Daniel Bell, DPM from Florida. Our doctor will do everything possible to treat your condition.
Heels Spurs
Heel spurs are formed by calcium deposits on the back of the foot where the heel is. This can also be caused by small fragments of bone breaking off one section of the foot, attaching onto the back of the foot. Heel spurs can also be bone growth on the back of the foot and may grow in the direction of the arch of the foot.
Older individuals usually suffer from heel spurs and pain sometimes intensifies with age. One of the main condition's spurs are related to is plantar fasciitis.
Pain
The pain associated with spurs is often because of weight placed on the feet. When someone is walking, their entire weight is concentrated on the feet. Bone spurs then have the tendency to affect other bones and tissues around the foot. As the pain continues, the feet will become tender and sensitive over time.
Treatments
There are many ways to treat heel spurs. If one is suffering from heel spurs in conjunction with pain, there are several methods for healing. Medication, surgery, and herbal care are some options.
If you have any questions, please feel free to contact our office located in Pembroke Pines and Plantation, FL . We offer the newest diagnostic and treatment technologies for all your foot care needs.
Connect With Us